Сложную операцию на костях таза провели врачи-травматологи Эжвинской городской больницы 18-летней пациентке, доставленной в тяжелом состоянии после дорожно-транспортного происшествия.
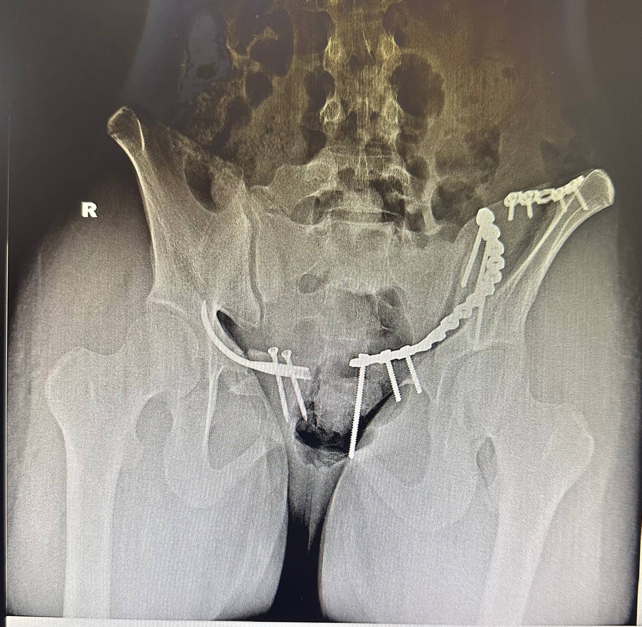
Как сообщили в пресс-службе медучреждения, девушка была переведена из центральной районной больницы с диагнозом: закрытая травма таза, перелом лонной кости справа, нестабильный перелом крыла подвздошной кости слева с нарушением целостности тазового кольца, а также шок 1-2 степени.
После стабилизации состояния пациентке в ходе одной операции выполнили два вида остеосинтеза: интрамедуллярный блокируемый малоинвазивный остеосинтез лонной кости справа и накостный остеосинтез крыла подвздошной кости слева. Хирургическое вмешательство позволило восстановить опороспособность таза.
В настоящее время состояние пациентки оценивается как удовлетворительное. Она уже присаживается в постели, ей разрешена дозированная осевая нагрузка с использованием дополнительных средств опоры.
